Endovascular treatment strategies for visceral artery aneurysms: a clinical practice review
Introduction
Visceral artery aneurysms (VAAs) are uncommon but clinically significant lesions that include both true aneurysms and pseudo-aneurysms. A true aneurysm is defined as a focal dilation twice the normal arterial diameter and involving all three layers of the wall. These lesions usually develop from atherosclerosis, fibromuscular dysplasia, arteritis, connective-tissue disorders, or chronic inflammation (1), whereas visceral artery pseudoaneurysms are generally precipitated by trauma, surgery, or local infection.
VAAs matter clinically because rupture occurs in approximately 25% of cases and can present as catastrophic intra-abdominal haemorrhage with 25–75% mortality, probably an under-estimate owing to undiagnosed fatalities (2). Splenic-artery aneurysms are particularly rupture-prone in late pregnancy (3), and pseudo-aneurysms bleed more often than true aneurysms; even small lesions may rupture, and mural calcification offers no proven protection (4).
The natural history of VAAs remains poorly defined owing to their rarity, but modern multidetector computed tomography angiography (CTA) and high-resolution magnetic resonance angiography (MRA) have markedly improved detection and pre-procedural planning, leading to an increase in reported cases. Endovascular techniques now permit minimally invasive exclusion of complex lesions once treated only by open surgery. Treatment selection hinges on aneurysm location, morphology, collateral circulation, and patient risk profile: although open and endovascular repair achieve similar technical success, open surgery carries higher peri-operative morbidity (5), so endovascular repair is preferred whenever anatomically feasible (6).
Previous works in literature (3,4) concentrated on clinical presentation and basic management principles during an era when advanced imaging and contemporary devices were not widely available. Our review updates the field by: integrating data from large recent cohorts and guidelines; detailing device-specific endovascular options, coupling these modalities with an aneurysm-type framework that aligns therapy with anatomy and providing a concise strengths-and-limitations analysis to guide the practice.
Our objective is to furnish an up-to-date guide that facilitates informed, patient-centered selection of open versus endovascular strategies for each VAA subtype (6).
Epidemiology and clinical presentation
As mentioned above, VAAs are uncommon vascular lesions. Autopsy series report an incidence of 0.01–0.2% whereas clinical cohorts describe a prevalence of 0.1–2% (5).
According to the Society for Vascular Surgery guidelines, VAAs account for approximately 5% of all intra-abdominal aneurysms (6). Published series that aggregate both true and pseudo-aneurysms consistently show that VAAs are predominantly found in the splenic artery (60%), followed by the hepatic artery (20%). The superior mesenteric artery accounts for 5% of VAAs, while the celiac artery represents 4% (2,7). Pancreatic branches make up 2%, and the gastroduodenal and inferior mesenteric arteries constitute 1.5% and 1%, respectively. Renal artery aneurysms are typically discussed separately due to their distinct natural history, featuring a notably lower rupture risk and mortality rate (7,8). The splenic artery ranks as the third most frequent site of abdominal aneurysms, after the abdominal aorta and iliac arteries (2,9). These aneurysms are typically small, saccular, occasionally calcified, and generally asymptomatic, occurring mainly in the central or distal part of the splenic artery. They are four times more prevalent in women and often associated with multiple pregnancies. The estimated rupture risk is 2–3%, with a 10–25% post-rupture mortality rate. In pregnant women, rupture leads to maternal death in up to 70% of cases and fetal death in over 90% of instances (9,10). Hepatic artery aneurysms occur more frequently in males and are usually asymptomatic. These lesions are typically found outside the liver, in the proper and common hepatic arteries (11). Aneurysms of the superior mesenteric artery tend to develop in the proximal third of the vessel. These lesions, commonly pseudoaneurysms, can be either saccular or fusiform. Patients may occasionally present symptoms of acute or chronic mesenteric ischemia, related to an aneurysm’s thrombosis. Mortality after aneurysm rupture results to be as high as 30% (12). Celiac artery aneurysms are usually fusiform and located in the distal third of the vessel. Concomitant focal dissection of the celiac artery with subsequent false lumen dilatation is a common cause of these lesions. Up to 75% of patients report symptoms that may indicate a high risk of imminent rupture, such as abdominal pain (13). Pancreaticoduodenal artery aneurysms are usually pseudoaneurysms. These rare lesions are likely to be related to pancreatitis or previous surgical interventions. Sometimes, patients refer nonspecific abdominal pain. In very rare cases and when the patient is particularly thin, a small pulsatile mass may be appreciated on physical examination. This occurs very infrequently, but when it does, it should raise diagnostic suspicion. Gastroduodenal artery aneurysms are the least common VAAs. These lesions are typically found in patients with concomitant pancreatitis, so that signs and symptoms are the same of this disease (14). The progression of renal artery aneurysms remains poorly understood. The right renal artery appears to be more frequently affected than the left, possibly due to a higher occurrence of fibrodysplasia on that side. These aneurysms are predominantly saccular, with 75% found at the primary or secondary bifurcations, while less than 10% are located intraparenchymally. Although most cases are asymptomatic, approximately 30% of these lesions become symptomatic, manifesting as persistent hypertension, pain, hematuria, kidney infarction, or rupture (15).
In patients with asymptomatic true aneurysms of the mesenteric arteries, intervention should be considered at a diameter 25 mm. In patients with true asymptomatic mesenteric aneurysms, intervention irrespective of size may be considered for patients with aneurysms of the pancreaticoduodenal and gastroduodenal arcade, of the intra-parenchymatous hepatic arteries, in women of child-bearing age, and in recipients of a liver transplant. Guidelines recommend treatment of non-ruptured celiac pseudoaneurysms of any size (16).
Diagnosis
VAAs present a significant challenge in medical diagnosis and treatment due to their often asymptomatic nature, low prevalence, and potential for sudden, life-threatening rupture. The subtle and sometimes misleading symptoms associated with VAAs—such as abdominal or back pain with anemia—can easily be misattributed to more common conditions, leading to delayed or missed diagnoses. Indeed, the true incidence of VAAs is likely underestimated not only because many lesions remain asymptomatic, but also due to their overall rarity. Consequently, VAAs are often detected incidentally during imaging studies performed for unrelated indications, underscoring the value of advanced modalities such as CTA and MRA. This incidental nature of diagnosis highlights the importance of including VAAs in the differential diagnosis of unexplained abdominal pain and anemia, and calls for heightened awareness among clinicians and radiologists when interpreting all pertinent imaging.
X-rays are rarely helpful, but may accidentally show calcifications in atherosclerotic VAAs, for example, in splenic artery aneurysms (17). Doppler ultrasound (DUS) is commonly utilized as a preliminary screening technique for abdominal aortic aneurysms, owing to its straightforward and non-invasive characteristics. Nevertheless, in the context of VAAs, its diagnostic precision is compromised (18). CTA and MRA can provide detailed visualizations of aneurysm morphology and characteristics, enabling accurate diagnosis and assessment of the extent of vascular involvement (19).
CTA remains the gold standard and most widely used method for identifying VAAs. The development of multidetector CT technology, together with advanced software for volume rendering and multiplanar reconstruction, has significantly enhanced its diagnostic and planning capabilities. These imaging techniques not only enable accurate diagnosis but also provide comprehensive information on the aneurysm’s size, location, and its relationship with surrounding structures. Such detailed data is essential for guiding treatment decisions, whether endovascular repair, open surgery, or conservative management (20). Magnetic resonance imaging (MRI) avoids ionizing radiation and is able to assess vascular flow without contrast agents using flow-sensitive sequences. Combined with three dimensional (3D) MRA, this diagnostic method effectively identifies VAAs due to high contrast resolution with minimal use of contrast agent (21). However, MRI and MRA have drawbacks, such as long acquisition times, unsuitable for emergencies, and the need for patient cooperation. Contraindications include claustrophobia and pacemakers. Time-resolved MRA is valuable for non-invasive VAA monitoring post-coil embolization, offering reduced susceptibility to metallic artifacts from platinum coils and high temporal resolution blood flow detection (22).
Conventional angiography still holds a unique position in the diagnostic and therapeutic armamentarium for the management of VAAs. Although more invasive and time-consuming compared to non-invasive imaging modalities, angiography offers unparalleled detail of the vascular anatomy and allows for immediate therapeutic intervention if necessary. This dual diagnostic and therapeutic capability makes angiography an invaluable tool in the management of VAAs. The real-time visualization provided by angiography enables precise localization of the aneurysm and assessment of collateral circulation, which is crucial for planning endovascular treatments.
Treatment options
The management of VAAs encompasses various treatment approaches, including conventional open surgery (such as aneurysmectomy, ligation, and bypass grafting) and endovascular procedures (like embolization and endografting). When anatomically appropriate, both surgical and endovascular methods have shown similar rates of technical and clinical success. However, selecting between these approaches hinges on several key considerations, such as the aneurysm’s specific location and shape, the patient’s general conditions, the urgency of treatment, and the physician’s skill and experience. Presently, there is a lack of randomized controlled trials or prospective studies comparing the efficacy of different treatment strategies, resulting in limited evidence regarding their effectiveness. Current guidelines in the literature are primarily derived from observational studies and case reports (23). Despite the paucity of evidence from previous retrospective analyses, open repair is generally associated with a higher risk of peri-procedural complications. In contrast, endovascular repair tends to result in shorter hospital stays and lower rates of major complications (24). These observations may favor endovascular approaches as the preferred treatment option. Furthermore, in cases of rupture, the benefits of endovascular repair appear more pronounced, as open repair becomes more challenging and carries increased morbidity. Long-term follow-up studies have demonstrated that both open surgical and endovascular repairs can yield lasting results in treating VAAs. However, endovascular techniques may necessitate more frequent monitoring and potentially additional procedures over time to maintain their efficacy (25,26).
Despite the shift towards endovascular methods, open surgery remains an essential option in the treatment of VAAs. It is particularly valuable for complex cases, such as aneurysms with challenging anatomy, those involving multiple vessels, or in situations where endovascular approaches are not feasible or have failed. Moreover, the importance of a multidisciplinary approach in managing VAAs cannot be overstated. The decision-making process often involves collaboration between vascular surgeons, general surgeons, interventional radiologists, and other specialists to determine the most appropriate treatment strategy for each patient.
Endovascular techniques for VAA exclusion
The objective of VAA embolization is to promote aneurysm thrombosis while keeping patent collateral pathways (whenever possible) and avoiding the risk of aneurysm reperfusion over time. Embolization techniques include end-artery embolization, direct aneurysm coiling or filling with liquid embolic agents, and stent- or balloon-assisted coiling. Additionally, we will briefly examine the application of stent grafts and flow-diverting stents, which represent an alternative treatment approach distinct from embolization techniques.
The most critical aspect of the procedure is planning, which requires careful evaluation of several anatomical features such as aneurysm diameters, neck characteristics (length, width, and shape), arterial feeders (front and back door), and presence of collateral branches (with risk assessment for potential organ damage in case of sacrifice). The assessment of the aforementioned factors is crucial to determine the choice of the most appropriate embolization technique and in particular to identify the correct size for vascular plugs and coils (and their packing density), as well as to estimate the quantity of the liquid embolic agent needed, and to choose its viscosity. Selecting the appropriate vascular access is another crucial consideration. In most instances, the visceral blood vessels typically angle downward, making an approach from above the most advantageous option. Nevertheless, a complete transfemoral technique, utilizing specialized steerable sheaths, has also been documented (27,28).
Distal-patent-artery embolization
Effective management of VAAs can be achieved by blocking both the incoming and outgoing sections of the affected artery, provided it is technically and clinically viable. However, this approach involves completely sealing off the aneurysmal artery, which may lead to decreased blood flow downstream and potential organ ischemia. Consequently, this method is typically reserved for areas with plentiful collateral circulation, such as the spleen region, and only after a thorough evaluation of the collateral network.
Embolization of end arteries can be accomplished using coils or vascular plugs. However, challenges can arise when embolizing vessels of medium to large size due to the significant risk of coil displacement. The Penumbra Occlusion Device (POD; Penumbra Inc., Alameda, CA, USA) features a unique design that enables them to secure themselves within arteries of larger diameters, thus mitigating the risk of migration to distal areas (29). The Amplatzer Vascular Plug (Abbott, St. Paul, MN, USA) has proven effective for aneurysm embolization, particularly in cases requiring numerous coils, offering a more cost-effective solution for VAA embolization. These devices allow for precise placement with high success rates (30). The Amplatzer Vascular Plug consists of a braided nitinol mesh disk that can be repositioned before final deployment. The nitinol mesh impedes blood flow, promoting clot formation, with its thrombogenic properties enhanced by multiple braid layers. The Amplatzer Vascular Plug family comprises four models designed for various anatomical and hemodynamic conditions. The type IV plug, designed for use with 4-French catheters, is generally sized 20% to 30% larger than the estimated vessel diameter. These devices can be utilized for VAA embolization, occasionally in combination with other embolizing agents, to block the primary feeding artery of large VAAs (31). For VAA embolization, microvascular plugs may also be employed, offering the significant benefit of deployment through 0.021- or 0.027-inch microcatheters, although they are restricted to relatively small arteries up to 7–7.5 mm in diameter (32). The MVP plug (Medtronic, Minneapolis, MN, USA) consists of a nitinol, cage-like framework with a polytetrafluoroethylene covering on one side and an attached detachable pusher. While case reports have documented its application in visceral arteries for trauma, tumor embolization, and aneurysm treatment, more comprehensive studies are required to assess its efficacy (30,32).
Aneurysm coiling
Coil embolization is the primary endovascular method for treating VAAs. This method utilizes metallic coils, either independently or in conjunction with additional embolic agents or devices. These coils function by creating a mechanical obstruction and encouraging secondary thrombosis through their thrombogenic fibers and by eliciting an inflammatory response (33). Accurate coil sizing is essential, typically surpassing the vessel lumen by 20%. Coils that are too small may result in inadequate occlusion or distal migration, while those that are too large may not conform properly, diminishing their thrombogenic effect (34). Dense coil packing is vital for long-term aneurysm exclusion. Various coil types are employed for VAA embolization, in particular 0.035-inch coils delivered through 4-French standard angiographic catheters, and 0.018-inch microcoils through coaxial microcatheters. Microcatheters of varying diameters and profiles, paired with microcoils, are preferred over standard angiographic catheters due to their superior maneuverability in tortuous visceral arteries. While pushable coils were once widely used due to their lower cost, detachable coils have become more affordable and offer advantages such as repositioning capability and longer lengths (up to 60 cm), reducing the number of coils needed.
The embolization strategy depends on VAA morphology. Fusiform VAAs, which encompass the entire vessel circumference, usually require sacrificing the target artery. Saccular VAAs, affecting only one side of the vessel, often allow for target artery preservation, provided the VAA neck is sufficiently narrow. For fusiform VAAs, coil packing progresses from the efferent vessel(s) through the aneurysm sac to the afferent vessel, with simultaneous microcatheter retraction to exclude the aneurysm and occlude the target artery. In saccular VAAs with narrow necks, the aneurysm sac is gradually filled with coils up to the neck, excluding the aneurysm while maintaining target artery patency (35). Consequently, the risk of distal ischemia is present only when sacrificing the parent vessel. Recent coil technology advancements have provided physicians with a range of coil shapes and behaviors. For instance, three-dimensional coils form a cage-like structure, facilitating embolization of saccular aneurysms with relatively wide necks without risking parent vessel occlusion.
Aneurysm filling with liquid embolic agents
Liquid embolic agents have revolutionized the field of VAAs embolization, offering both adhesive and non-adhesive options for treatment. This advancement has significantly expanded the toolkit available to interventional radiologists and vascular surgeons, allowing for more tailored approaches to complex vascular pathologies. Adhesive substances, or glues, are particularly valuable in urgent situations or cases of active bleeding due to their immediate effect (36). These agents, such as n-butyl cyanoacrylate (NBCA), rapidly polymerize upon contact with blood, forming a solid cast within the vessel lumen. This property makes them ideal for scenarios where rapid hemostasis is critical, such as in traumatic injuries or ruptured aneurysms.
However, the introduction of non-adhesive ethylene vinyl alcohol copolymers (EVOH) has provided clinicians with a more versatile tool for VAA embolization. EVOH agents, such as Onyx (Medtronic, Dublin, Ireland), Menox (Meril Life Sciences, Gujarat, India), Squid (Emboflu, Gland, Switzerland), and Phil (MicroVention, Terumo, Austin, USA), offer several advantages over traditional glue embolization. These include a viscous consistency that allows for controlled delivery, gradual polymerization for precise placement, high visibility under fluoroscopy for accurate monitoring, and the ability to uniformly fill vessels. The controlled delivery aspect is particularly crucial in VAA treatment, as it enables operators to achieve complete aneurysm occlusion while minimizing the risk of non-target embolization. The gradual polymerization process allows for adjustments during the procedure, a feature not available with rapidly solidifying adhesive agents. Additionally, the non-adherent nature of EVOH agents to microcatheter tips reduces the risk of unintended embolization, enhancing the safety profile of the procedure (37). This characteristic is especially beneficial in tortuous vascular anatomy, where catheter entrapment could lead to serious complications. The high radiopacity of EVOH agents also facilitates real-time assessment of embolization progress, allowing for more precise and controlled aneurysm filling.
Despite their benefits, EVOH agents do present certain challenges that clinicians must consider. The higher cost of these agents compared to traditional glues may impact treatment decisions, particularly in resource-constrained settings. This economic factor often necessitates a careful cost-benefit analysis, weighing the potential advantages of EVOH against its financial implications. The use of EVOH agents also requires dedicated dimethyl sulfoxide (DMSO)-compatible microcatheters and a more complex preparation process, including a 20-minute shaking period and the need for DMSO infusion prior to injection. This preparation time can be a disadvantage in emergent situations where rapid intervention is crucial. The use of DMSO itself can lead to complications such as vasospasm and pain due to its toxic effects on the endothelium. These side effects, while generally transient, can cause patient discomfort and potentially impact the success of the procedure (38). Operators must be vigilant in monitoring for these reactions and be prepared to manage them effectively. Furthermore, the learning curve associated with EVOH use is steeper compared to traditional embolic agents, requiring additional training and experience to achieve optimal results. Recent advancements in EVOH technology have addressed some limitations, particularly in post-procedural imaging. Newer, lower-density formulations have significantly reduced the glare artifact on follow-up CTA, improving the ability to detect early reperfusion and enhancing overall treatment monitoring capabilities. This progress is crucial for long-term patient management, as it allows for more accurate assessment of treatment efficacy and early detection of potential complications or recurrence.
Stent-assisted coiling
Saccular aneurysms can be classified based on the dimensions of their entry point from the affected artery, with two main categories: narrow-necked and wide-necked aneurysms. This distinction is crucial in determining the most appropriate treatment approach, as the size and shape of the aneurysm neck significantly influence the feasibility and effectiveness of various interventional techniques. For wide-necked saccular aneurysms involving visceral arteries, the risk of organ ischemia is significant if the entire vessel is occluded. This is because visceral arteries supply blood to vital organs such as the liver, spleen, and kidneys, and their compromise can lead to severe complications. In such cases, the preferred treatment method is typically an uncovered stent-assisted coil embolization technique (39). This approach is designed to prevent coils from protruding or migrating out of the aneurysm neck, thereby maintaining blood flow in the parent artery while effectively treating the aneurysm.
The procedure for stent-assisted coil embolization involves a two-step process, combining the benefits of both stenting and coiling. First, a stent is deployed across the neck of the aneurysm to provide a scaffold. This step is critical as it creates a supportive structure that will help contain the coils within the aneurysm sac. The stent also helps to remodel the vessel wall, potentially promoting endothelialization and long-term healing of the aneurysm neck. Following stent deployment, a microcatheter is carefully navigated through the stent’s mesh and into the aneurysm sac. This step requires significant technical skill and precision, as the microcatheter must be maneuvered through the small openings in the stent without disturbing its position or damaging the vessel wall. Once the microcatheter is in place, the aneurysm is then packed with coils, which are retained within the sac by the stent. In general, given the tortuous nature of the arteries involved, self-expandable stents are generally considered more suitable for this application (40). Visceral arteries often have complex curves and branches, making them difficult to access and treat with more rigid devices. Self-expandable stents can adapt to these anatomical variations, ensuring better coverage of the aneurysm neck and improved overall treatment outcomes.
It is worth noting that while stent-assisted coiling is an effective treatment for many wide-necked VAAs, it is not without challenges. The procedure requires advanced endovascular skills and may be associated with longer procedural times and increased radiation exposure compared to simple coiling. Additionally, patients undergoing this treatment typically require long-term antiplatelet therapy to prevent stent thrombosis, which carries its own set of risks and considerations.
Balloon-assisted coiling
Balloon-assisted coil embolization is an advanced endovascular technique used to treat wide-necked saccular aneurysms, which are challenging to manage with traditional coiling methods. This procedure involves the strategic use of temporary balloon occlusion to facilitate the safe and effective placement of embolic coils within the aneurysm sac (41). The process begins with the insertion of a microcatheter into the aneurysm itself. Concurrently, a balloon catheter is positioned within the parent artery, spanning the neck of the aneurysm. This dual-catheter setup is crucial for the success of the procedure. Once in place, the balloon is inflated, temporarily occluding the aneurysm neck. This inflation serves two primary purposes: it prevents coil herniation into the parent vessel and allows for more precise coil placement within the aneurysm sac. The microcatheter, already positioned within the aneurysm, is then used to deploy embolic coils. The coil deployment process is carried out in a controlled manner, with the balloon being intermittently inflated and deflated. This technique, known as sequential balloon inflation and deflation, allows for the optimal packing of coils within the aneurysm while maintaining the integrity of the parent artery. The balloon acts as a protective barrier, ensuring that the coils remain confined within the aneurysm sac and do not protrude into the main blood vessel.
One of the key advantages of this technique is the ability to achieve a higher packing density of coils within the aneurysm. The temporary balloon occlusion creates a more stable environment for coil placement, allowing interventionalists to deploy coils more aggressively without the risk of coil migration or prolapse. Traditionally, balloon-assisted coiling required two separate arterial access points—one for the microcatheter and another for the balloon catheter. However, recent technological advancements have led to the development of single-lumen balloon catheters. These innovative devices allow both the microcatheter and the balloon to be introduced through a single guiding catheter, significantly simplifying the procedure (42).
Stent grafts
In contrast to embolization, which can potentially cause distal ischemia, the use of covered stents for endovascular repair offers a way to seal off the VAA while preserving blood circulation through the affected visceral artery. Although embolization is almost always feasible for VAA treatment, covered stent placement is only possible in specific cases when a non-aneurysmal proximal and distal portion of the affected artery is present. The primary limitations for covered stent placement are typically the high tortuosity and small diameter of visceral arteries. Both balloon-expandable and self-expandable covered stents are commonly employed in VAA endovascular repair (43). Self-expandable covered stents are generally more appropriate for visceral arteries due to their ability to conform to vessel tortuosity. On the other hand, balloon-expandable covered stents, being more rigid, are less suitable for tortuous visceral arteries, and are generally preferred for straight segments such as the celiac trunk. Following covered stent placement, dual antiplatelet therapy should be administered for 3–6 months, followed by lifelong aspirin use to ensure long-term stent patency (44).
While covered stent placement may be more expensive than embolization, the expense can vary depending on the embolization type. In cases of fusiform or large saccular VAAs requiring numerous detachable coils for high packing density, embolization costs can be substantial. For complex aneurysms, a combination of covered stent and coil embolization may be necessary to prevent aneurysm revascularization.
Flow-diverting stents
Initially designed for cerebral aneurysm treatment, flow-diverting stents have recently been applied to VAAs (45). These stents are theoretically capable of inducing aneurysm thrombosis while maintaining the patency of efferent branches (46). This makes them particularly suitable for areas with high ischemia risk, as they can preserve both the target artery and aneurysm-associated side branches. Their unique design promotes gradual aneurysm thrombosis by reducing flow at the aneurysm neck, creating turbulence that increases blood viscosity within the sac, ultimately leading to aneurysm exclusion. The stent interstices allow laminar flow into side branches, including those originating from the aneurysm, thanks to a neo-endothelialization process (47). However, the development of thrombosis or aneurysm sac shrinkage due to depressurization takes longer compared to conventional techniques, and this may represent a limit in case of emergency or in the face of very large aneurysmal lesions. A recent meta-analysis, encompassing 10 cohort studies with 220 VAA patients treated using flow-diverting stents, reported side branch patency in 89% of cases and aneurysm thrombosis/shrinkage in over 90% of cases (48). The main limitations of flow-diverter stents are their high cost and the requirement that the target artery diameter not exceed 5–5.5 mm. Similar to covered stents, dual antiplatelet therapy for 6 months followed by lifelong aspirin is recommended after flow-diverting stent placement.
Across the literature already cited in the review, densely packed detachable coils (≥24% sac-volume packing) achieve 95–100% technical success and ≈96% clinical success, whereas loose packing (<24%) is followed by coil compaction or reperfusion in up to 40% of cases. Major adverse events remain rare (<5%) and are dominated by coil migration or nontarget embolisation, risks that are mitigated by the stent or balloon-assisted techniques detailed in section “Aneurysm filling with liquid embolic agents” and “Stent-assisted coiling”.
Non-adhesive EVOH copolymers (Onyx, Menox, Squid, Phil) and NBCA glue match coils for primary efficacy (≈96–100% technical and 95–98% clinical success) while keeping recurrence below 5%; their principal limitation is distal nontarget embolisation or DMSO-related vasospasm, both reported at ≈5% in the largest series (36,37). The controlled, progressive solidification of EVOH makes it the agent of choice for wide-neck or terminal-branch pseudo-aneurysms, exactly as described in section “Aneurysm coiling”.
Covered stent-grafts provide parent-artery preservation when a suitable landing zone exists. Contemporary series of Viabahn and balloon-expandable devices report 80–97% technical success overall (96–100% in elective settings) and mid-term patency of 92–100%, with endoleak or early thrombosis ≤5% provided dual antiplatelet therapy is observed (43,44). Flow-diverter devices extend this concept to arteries <5.5 mm in diameter; a recent meta-analysis of 10 cohorts (220 VAAs) shows branch patency in 89% and complete thrombosis/shrinkage in >90% (48).
Taken together, the evidence confirms that: dense coil or EVOH packing remains the benchmark for narrow-neck or sac-confined lesions; stent-grafts are preferred for wide-necked aneurysms when arterial preservation is mandatory; and flow-diverters and stent or balloon-assisted coiling offer valuable hybrid solutions when conventional techniques would compromise distal perfusion. All strategies share high primary success (>80%) and a low major-complication profile; recurrence is chiefly driven by coil packing density or inadequate landing zones, rather than by the choice of device per se. All this data is summarized in Table 1.
Table 1
| Technique | Technical success | Clinical success | Major complications† | Recurrence/patency |
|---|---|---|---|---|
| Coil/plug isolation & stenting or balloon-assisted | 95–100% | ≈96% | <5% (migration, non-target vessel) | 10%* (dense), 40%* (loose) |
| Liquid agents, NBCA/EVOH | 96–100% | 95–98% | ≈5% (distal ischaemia, DMSO vascular spasm) | <5% |
| Covered stent-grafts | 80–97% (96% elective) | 84–96% | ≤5% (thrombosis, endoleak) | Patency: 92–100% |
| Flow-diverters | 85–95% | 90–95% (progressive) | ≤5% (branch occlusion) | Aneurysm occlusion >90%; branch patency ≈89% |
*, Wojtaszek et al. (49). †, events requiring additional treatment or prolonged hospital stay. DMSO, dimethyl sulfoxide; EVOH, ethylene vinyl alcohol copolymers; NBCA, n-butyl cyanoacrylate.
Considerations by aneurysm type
Celiac trunk
Aneurysms of the celiac trunk are uncommon, comprising approximately 4% of VAAs. Endovascular treatment can be challenging, particularly when the aneurysm affects the artery’s origin, as there may be insufficient space for landing with a covered stent or for placing coils proximal to the aneurysm. When an adequate proximal landing zone exists, a covered stent becomes a viable treatment option (50). Nevertheless, to fully exclude the aneurysm, which typically involves the celiac bifurcation, it is necessary to extend the distal landing into one of the divisional branches (either hepatic or splenic artery) while simultaneously occluding the other to prevent type II endoleak and avoid further reinterventions
Splenic artery
Splenic artery aneurysms account for 60% of all VAAs. A significant association has been observed with females, pregnancy, and portal hypertension. The majority (75%) are found in the distal portion, 20% in the middle section, and 5% in the proximal region. For fusiform aneurysms, endovascular repair using a covered stent or stent-assisted coil embolization is often the preferred approach, but this is only feasible for proximal or intermediate localization. Coil embolization is considered a safe and economical alternative with minimal risk of ischemic complications, even in cases of splenic artery occlusion, due to the presence of short gastric collaterals. Splenic infarcts may occur only when embolizing hilar or intraparenchymal aneurysms with vessel sacrifice, but these are typically limited, often clinically insignificant, and managed conservatively. The density of coil packing is essential to prevent aneurysm revascularization (49) (Figure 1).
Hepatic artery
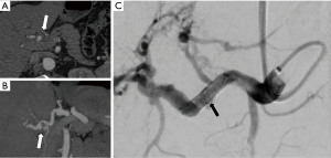
Hepatic artery aneurysms are the second most common type, accounting for approximately 20% of VAAs (Figure 2). For aneurysms affecting the proper hepatic artery, the recommended treatment involves the use of covered stents, including flow-diverting stents or stent-assisted coil embolization (Figure 3). This technique helps preserve hepatic artery blood flow and minimizes the risk of severe organ ischemia. Occlusion of the proper hepatic artery through coil embolization can result in hepatic infarction, despite the liver’s dual blood supply and portal vein patency. On the other hand, in cases involving the common hepatic artery, coil embolization can be safely performed if collateral flow to the proper hepatic artery is secured via the gastroduodenal artery (51). For these particular instances, simultaneously implanting a covered stent from the celiac trunk to the splenic artery may be beneficial in occluding the inflow to the common hepatic artery (Figure 4). Embolization of intrahepatic branches using coils is typically carried out without complications, due to the extensive intraparenchymal anastomotic arterial network.
Superior mesenteric artery
Approximately 5% of VAAs are found in the superior mesenteric artery, typically affecting its proximal section. Endovascular procedures for treating these aneurysms carry a risk of ischemic complications that may necessitate resection of the affected bowel segment. For aneurysms situated in the main trunk with multiple branching vessels, flow-diverting stents or stent-assisted coil embolization are commonly employed. In contrast, aneurysms in the jejunoileal or colic proximal branches can be safely treated with coil embolization, owing to the extensive anastomotic vascular network in these areas (52).
Renal artery
Renal artery aneurysms constitute 25% of VAAs. While commonly linked to hypertension, they have also been associated with connective tissue disorders (53,54). For aneurysms with narrow necks and a saccular shape, the most prevalent endovascular method to isolate the aneurysm and sustain normal blood flow in the main artery is coil embolization. In cases of fusiform renal aneurysms affecting distal branches, embolization using coils or liquid embolic agents can be performed with minimal acceptable loss of parenchyma due to limited collateral formation (55). For aneurysms with wide necks, viable endovascular alternatives include covered stents or stent/balloon-assisted coil embolization, which can simultaneously isolate the aneurysm and maintain renal blood supply (56). Recently, neuro-interventional devices and flow-diverting stents have been utilized with promising outcomes (57) (Figure 5).
Strengths and limitations
Strengths
- Technique overview: this review details a full spectrum of endovascular modalities—including coil embolization, liquid embolics, covered stents, flow-diverting devices, and adjunctive balloon- and stent-assisted methods—providing practitioners with a comprehensive technique overview of available tools and their mechanisms.
- Anatomy-driven guidance: by pairing each technique with aneurysm-type–specific considerations, the manuscript offers practical, location-tailored recommendations that reflect real-world decision-making.
- Integration of recent evidence: drawing on large clinical cohorts and contemporary guidelines, the article synthesizes epidemiologic data, procedural outcomes, and morbidity profiles to anchor recommendations in up-to-date literature.
- Multidisciplinary perspective: the emphasis on collaboration between vascular surgeons, interventional radiologists, and general surgeons underscores the importance of team-based planning for complex VAAs and mirrors best-practice frameworks in high-volume centers.
Limitations
- Heterogeneous evidence base: the rarity of VAAs means most data derive from retrospective case series and single-center experiences, with a paucity of randomized controlled trials or prospective registries. This limits the ability to draw definitive comparisons between open and endovascular approaches.
- Variable follow-up and reporting: long-term durability and reintervention rates after endovascular repair remain inconsistently reported, and many series lack standardized imaging surveillance protocols, hindering reliable outcome assessment.
- Incidence uncertainty: population-based incidence of VAAs is poorly defined; reported rates (0.01–0.2% in autopsy series; 0.1–2.0% in imaging cohorts) likely under-represent true prevalence due to asymptomatic cases and under-diagnosis.
- Device diversity: the rapid evolution and broad variety of embolic agents and stent platforms preclude exhaustive coverage of all brands and models, necessitating that clinicians adapt recommendations to locally available devices and institutional expertise.
By acknowledging these strengths and limitations, we aim to provide an accessible, balanced, pragmatic resource that informs current practice while highlighting areas in need of further prospective investigation.
Conclusions
Endovascular techniques have revolutionized the management of VAAs, offering minimally invasive treatment options with lower morbidity compared to open surgical repair. This review has highlighted the various endovascular approaches available, including coil embolization, liquid embolic agents, stent-assisted coiling, and the use of covered stents and flow diverters. Each technique has its own advantages and limitations, and the choice of treatment depends on multiple factors such as aneurysm location, morphology, and the patient’s clinical status. A thorough understanding of the available techniques, careful patient selection, and a multidisciplinary approach are crucial for optimal management. Looking ahead, advancements are expected in several areas: more accurate planning of the interventional procedures, enhanced and more controllable occlusive capacity of embolic agents, more flexible and lower-profile stent-grafts suitable for the repair of tortuous visceral arteries, and less expensive and flow-diverting devices. However, as technology continues to evolve, endovascular approaches are likely to remain at the forefront of VAA treatment, offering safe and effective alternatives to traditional surgical repair.
Acknowledgments
None.
Footnote
Peer Review File: Available at https://asj.amegroups.com/article/view/10.21037/asj-25-45/prf
Funding: None.
Conflicts of Interest: All authors have completed the ICMJE uniform disclosure form (available at https://asj.amegroups.com/article/view/10.21037/asj-25-45/coif). The authors have no conflicts of interest to declare.
Ethical Statement: The authors are accountable for all aspects of the work in ensuring that questions related to the accuracy or integrity of any part of the work are appropriately investigated and resolved.
Open Access Statement: This is an Open Access article distributed in accordance with the Creative Commons Attribution-NonCommercial-NoDerivs 4.0 International License (CC BY-NC-ND 4.0), which permits the non-commercial replication and distribution of the article with the strict proviso that no changes or edits are made and the original work is properly cited (including links to both the formal publication through the relevant DOI and the license). See: https://creativecommons.org/licenses/by-nc-nd/4.0/.
References
- Tulsyan N, Kashyap VS, Greenberg RK, et al. The endovascular management of visceral artery aneurysms and pseudoaneurysms. J Vasc Surg 2007;45:276-83; discussion 283. [Crossref] [PubMed]
- Pitton MB, Dappa E, Jungmann F, et al. Visceral artery aneurysms: Incidence, management, and outcome analysis in a tertiary care center over one decade. Eur Radiol 2015;25:2004-14. [Crossref] [PubMed]
- Dhinakar M, Al Mashini S, Golash V. Rupture of Splenic Artery Aneurysm during Pregnancy: A Report of two Cases. Oman Med J 2011;26:e025. [Crossref] [PubMed]
- Wagner WH, Allins AD, Treiman RL, et al. Ruptured visceral artery aneurysms. Ann Vasc Surg 1997;11:342-7. [Crossref] [PubMed]
- Batagini NC, El-Arousy H, Clair DG, et al. Open versus Endovascular Treatment of Visceral Artery Aneurysms and Pseudoaneurysms. Ann Vasc Surg 2016;35:1-8. [Crossref] [PubMed]
- Chaer RA, Abularrage CJ, Coleman DM, et al. The Society for Vascular Surgery clinical practice guidelines on the management of visceral aneurysms. J Vasc Surg 2020;72:3S-39S. [Crossref] [PubMed]
- Horton KM, Smith C, Fishman EK. MDCT and 3D CT angiography of splanchnic artery aneurysms. AJR Am J Roentgenol 2007;189:641-7. [Crossref] [PubMed]
- Pilleul F, Beuf O. Diagnosis of splanchnic artery aneurysms and pseudoaneurysms, with special reference to contrast enhanced 3D magnetic resonance angiography: a review. Acta Radiol 2004;45:702-8. [Crossref] [PubMed]
- Sułkowski L, Szura M, Pasternak A, et al. Pathogenesis, diagnosis and treatment of splenic artery aneurysms. Austin J Vasc Med 2016;3:1017.
- Jesinger RA, Thoreson AA, Lamba R. Abdominal and pelvic aneurysms and pseudoaneurysms: imaging review with clinical, radiologic, and treatment correlation. Radiographics 2013;33:E71-96. [Crossref] [PubMed]
- Ferrara D, Giribono AM, Viviani E, et al. Endovascular management of a large hepatic artery aneurysm. Clin Ter 2017;168:e178-80. [Crossref] [PubMed]
- Badea R, Barsan M, Scridon T, et al. Superior mesenteric artery aneurysm: importance of sonography as the primary imaging technique for detection. J Ultrasound Med 2010;29:1503-6. [Crossref] [PubMed]
- McMullan DM, McBride M, Livesay JJ, et al. Celiac artery aneurysm: a case report. Tex Heart Inst J 2006;33:235-40.
- Badea R. Splanchnic artery aneurysms: the diagnostic contribution of ultrasonography in correlation with other imaging methods. J Gastrointestin Liver Dis 2008;17:101-5. [Crossref] [PubMed]
- Coleman DM, Stanley JC. Renal artery aneurysms. J Vasc Surg 2015;62:779-85. [Crossref] [PubMed]
- Loffroy R, Favelier S, Pottecher P, et al. Endovascular management of visceral artery aneurysms: When to watch, when to intervene? World J Radiol 2015;7:143-8. [Crossref] [PubMed]
- Kawakubo K, Kawakami H, Kuwatani M, et al. Education and imaging. Hepatobiliary and pancreatic: A splenic artery aneurysm presenting as a calcified pancreatic mass. J Gastroenterol Hepatol 2015;30:655. [Crossref] [PubMed]
- Paik WH, Choi JH, Seo DW, et al. Clinical usefulness with the combination of color Doppler and contrast-enhanced harmonic EUS for the assessment of visceral vascular diseases. J Clin Gastroenterol 2014;48:845-50. [Crossref] [PubMed]
- Jesinger RA, Thoreson AA, Lamba R. Abdominal and pelvic aneurysms and pseudoaneurysms: imaging review with clinical, radiologic, and treatment correlation. Radiographics 2013;33:E71-96. [Crossref] [PubMed]
- Saba L, Anzidei M, Lucatelli P, et al. The multidetector computed tomography angiography (MDCTA) in the diagnosis of splenic artery aneurysm and pseudoaneurysm. Acta Radiol 2011;52:488-98. [Crossref] [PubMed]
- Vosshenrich R, Fischer U. Contrast-enhanced MR angiography of abdominal vessels: is there still a role for angiography? Eur Radiol 2002;12:218-30. [Crossref] [PubMed]
- Kawai T, Shimohira M, Suzuki K, et al. Time-resolved magnetic resonance angiography as a follow-up method for visceral artery aneurysm treated with coil-embolisation. Pol J Radiol 2018;83:e137-42. [Crossref] [PubMed]
- Björck M, Koelemay M, Acosta S, et al. Editor's Choice - Management of the Diseases of Mesenteric Arteries and Veins: Clinical Practice Guidelines of the European Society of Vascular Surgery (ESVS). Eur J Vasc Endovasc Surg 2017;53:460-510. [Crossref] [PubMed]
- Barrionuevo P, Malas MB, Nejim B, et al. A systematic review and meta-analysis of the management of visceral artery aneurysms. J Vasc Surg 2019;70:1694-9. [Crossref] [PubMed]
- Fargion AT, Falso R, Speziali S, et al. Results of current endovascular treatments for visceral artery aneurysms. J Vasc Surg 2023;78:387-93. [Crossref] [PubMed]
- Nooromid M, Hoel AW, Eskandari M, et al. Ten-Year Experience with Repair of Visceral Artery Aneurysms. J Vasc Surg 2020;72:e232.
- Ferrer C, Diotallevi N, Orellana Dàvila B, et al. Complete Transfemoral Endovascular Repair with Homemade Steerable Sheath of Intercostal Artery Patch Aneurysm after Open Repair of Thoracoabdominal Aortic Aneurysm. Ann Vasc Surg 2022;83:378.e11-20. [Crossref] [PubMed]
- Ferrer C, Venturini L, Grande R, et al. A Steerable Sheath to Deploy Hypogastric Bridging Stent by Contralateral Femoral Approach in an Iliac Branch Procedure after Endovascular Aneurysm Repair. Ann Vasc Surg 2017;44:415.e1-5. [Crossref] [PubMed]
- Kato K, Kawashima K, Suzuki T, et al. Embolization of medium-sized vessels with the penumbra occlusion device: evaluation of anchoring function. CVIR Endovasc 2020;3:24. [Crossref] [PubMed]
- Leyon JJ, Littlehales T, Rangarajan B, et al. Endovascular embolization: review of currently available embolization agents. Curr Probl Diagn Radiol 2014;43:35-53. [Crossref] [PubMed]
- Lopera JE. The Amplatzer Vascular Plug: Review of Evolution and Current Applications. Semin Intervent Radiol 2015;32:356-69. [Crossref] [PubMed]
- Bailey CR, Arun A, Towsley M, et al. MVP™ Micro Vascular Plug Systems for the Treatment of Pulmonary Arteriovenous Malformations. Cardiovasc Intervent Radiol 2019;42:389-95. [Crossref] [PubMed]
- Sousa J, Costa D, Mansilha A. Visceral artery aneurysms: review on indications and current treatment strategies. Int Angiol 2019;38:381-94. [Crossref] [PubMed]
- Ibrahim F, Dunn J, Rundback J, et al. Visceral Artery Aneurysms: Diagnosis, Surveillance, and Treatment. Curr Treat Options Cardiovasc Med 2018;20:97. [Crossref] [PubMed]
- Bratby MJ, Lehmann ED, Bottomley J, et al. Endovascular embolization of visceral artery aneurysms with ethylene-vinyl alcohol (Onyx): a case series. Cardiovasc Intervent Radiol 2006;29:1125-8. [Crossref] [PubMed]
- Gorsi U, Chaluvashetty S, Kalra N, et al. Percutaneous glue embolization as a primary treatment for visceral pseudoaneurysms. Minim Invasive Ther Allied Technol 2020;29:170-6. [Crossref] [PubMed]
- Kolber MK, Shukla PA, Kumar A, et al. Ethylene vinyl alcohol copolymer (onyx) embolization for acute hemorrhage: a systematic review of peripheral applications. J Vasc Interv Radiol 2015;26:809-15. [Crossref] [PubMed]
- Venturini M, Piacentino F, Coppola A, et al. Visceral Artery Aneurysms Embolization and Other Interventional Options: State of the Art and New Perspectives. J Clin Med 2021;10:2520. [Crossref] [PubMed]
- Wei X, Sun Y, Wu Y, et al. Management of wide-based renal artery aneurysms using noncovered stent-assisted coil embolization. J Vasc Surg 2017;66:850-7. [Crossref] [PubMed]
- Ma T, He Y, Zhong W, et al. Mid-term Results of Coil Embolization Alone and Stent-assisted Coil Embolization for Renal Artery Aneurysms. Ann Vasc Surg 2021;73:296-302. [Crossref] [PubMed]
- Modestino F, Cappelli A, Mosconi C, et al. Balloon-assisted coil embolization (BACE) of a wide-necked aneurysm of the inferior pancreaticoduodenal artery. CVIR Endovasc 2020;3:62. [Crossref] [PubMed]
- Onal Y, Samanci C, Cicek ED. Double-Lumen Balloons, Are They Only Useful in Neurointerventions? Preliminary Outcomes of Double-Lumen Balloon-Assisted Embolization of Visceral Artery Aneurysms. Vasc Endovascular Surg 2020;54:214-9. [Crossref] [PubMed]
- Rossi M, Rebonato A, Greco L, et al. Endovascular exclusion of visceral artery aneurysms with stent-grafts: technique and long-term follow-up. Cardiovasc Intervent Radiol 2008;31:36-42. [Crossref] [PubMed]
- Künzle S, Glenck M, Puippe G, et al. Stent-graft repairs of visceral and renal artery aneurysms are effective and result in long-term patency. J Vasc Interv Radiol 2013;24:989-96. [Crossref] [PubMed]
- Colombi D, Bodini FC, Bossalini M, et al. Extracranial Visceral Artery Aneurysms/Pseudoaneurysms Repaired with Flow Diverter Device Developed for Cerebral Aneurysms: Preliminary Results. Ann Vasc Surg 2018;53:272.e1-9. [Crossref] [PubMed]
- Rabuffi P, Bruni A, Antonuccio EGM, et al. Treatment of visceral artery aneurysms and pseudoaneurysms with the use of cerebral flow diverting stents: initial experience. CVIR Endovasc 2020;3:48. [Crossref] [PubMed]
- Bhogal P, Ganslandt O, Bäzner H, et al. The Fate of Side Branches Covered by Flow Diverters-Results from 140 Patients. World Neurosurg 2017;103:789-98. [Crossref] [PubMed]
- Zhang Y, Xiang D, Lu Q, et al. A systematic review and meta-analysis of the performance of flow-diverting stents in the treatment of peripheral and visceral artery aneurysms. Catheter Cardiovasc Interv 2021;97:461-9. [Crossref] [PubMed]
- Wojtaszek M, Lamparski K, Wnuk E, et al. Selective occlusion of splenic artery aneurysms with the coil packing technique: the impact of packing density on aneurysm reperfusion correlated between contrast-enhanced MR angiography and digital subtraction angiography. Radiol Med 2019;124:450-9. [Crossref] [PubMed]
- Zhang W, Fu YF, Wei PL, et al. Endovascular Repair of Celiac Artery Aneurysm with the Use of Stent Grafts. J Vasc Interv Radiol 2016;27:514-8. [Crossref] [PubMed]
- Erben Y, De Martino RR, Bjarnason H, et al. Operative management of hepatic artery aneurysms. J Vasc Surg 2015;62:610-5. [Crossref] [PubMed]
- Kim SH, Lee MS, Han HY, et al. Endovascular Management of Ruptured Middle Colic Artery Aneurysm and Review of the Literature. Ann Vasc Surg 2019;59:310.e13-6. [Crossref] [PubMed]
- Pennetta FF, Ferrer C, Tonidandel L, et al. Disappearing multiple visceral aneurysms in Vascular Ehlers-Danlos syndrome. Vascular 2024;32:909-15. [Crossref] [PubMed]
- D'Oria M, Lepidi S, Giudice R, et al. A national cross-sectional survey on time-trends for endovascular repair of genetically-triggered aortic disease and connective tissue disorders over two decades. J Cardiovasc Surg (Torino) 2024;65:351-7. [Crossref] [PubMed]
- Tang H, Tang X, Fu W, et al. Coil embolization of renal artery bifurcation and branch aneurysms with flow preservation. J Vasc Surg 2018;68:451-458.e2. [Crossref] [PubMed]
- Onal Y, Acunas B, Samanci C, et al. Preliminary Results of Stent-Assisted Coiling of Wide-Necked Visceral Artery Aneurysms via Self-Expandable Neurointerventional Stents. J Vasc Interv Radiol 2019;30:49-53. [Crossref] [PubMed]
- Maingard J, Lamanna A, Kok HK, et al. Endovascular treatment of visceral artery and renal aneurysms (VRAA) using a constant mesh density flow diverting stent. CVIR Endovasc 2019;2:15. [Crossref] [PubMed]
Cite this article as: Ferrer C, Giudice R, Orellana Davila B, Mancusi C, Pennetta FF, Coscarella C. Endovascular treatment strategies for visceral artery aneurysms: a clinical practice review. AME Surg J 2025;5:46.

